NEW YORK (AP) — Five Americans died of rabies last year — the largest number in a decade — and health officials said Thursday that some of the people didn't realize they had been infected or refused life-saving shots.
The Centers for Disease Control and Prevention released a report on three of the deaths, all stemming from contact with bats. CDC officials said the deaths were tragic and could have been prevented.
One, an 80-year-old Illinois man, refused to take life-saving shots because of a longstanding fear of vaccines. An Idaho man and a Texas boy did not get shots because of a belief that no bat bite or scratch broke their skin.
In all three cases, people “either trivialized the exposure (to bats) or they didn't recognize the severity of rabies,” said Ryan Wallace, a CDC rabies expert who co-authored the report.
Two other deaths occurred earlier in 2021. One was a Minnesota man bitten by a bat. He got the shots, but an undiagnosed immune system problem hampered their effectiveness, CDC officials said. The other victim was bitten by a rabid dog while traveling in the Philippines and died in New York after returning to the U.S.
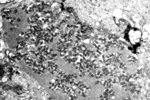
Rabies is caused by a virus that invades the central nervous system and is usually fatal in animals and humans. It’s most commonly spread through a bite from an infected animal, with most U.S. infections in recent years traced to bat encounters.
Infection can cause insomnia, anxiety, confusion, paralysis, salivating, hallucinations, difficulty swallowing and fear of water.
Death can occur only a couple of weeks after symptoms begin. But it can be prevented through a series of five shots given within two weeks of exposure.
An estimated 60,000 Americans are treated each year after possible exposure to rabies, the CDC says.
There were no rabies deaths reported in 2019 or 2020. The last time five U.S. rabies deaths were reported in a single year was 2011, CDC officials said.
___
The Associated Press Health & Science Department receives support from the Howard Hughes Medical Institute’s Department of Science Education. The AP is solely responsible for all content.
Copyright 2022 The Associated Press. All rights reserved. This material may not be published, broadcast, rewritten or redistributed without permission.